
肘の痛みが「治らない」本当の理由
“変形”や”使いすぎ”のせいではありません
「肘が痛くて、雑巾も絞れない…」

「ペットボトルの蓋を開けるだけで激痛が走る」
「病院で『骨が変形してトゲ(骨棘)ができている』と言われた」
「『テニス肘(上顆炎)』と言われ、サポーターをしているが治らない」
「もう重いものは一生持てないのかと、不安でたまらない…」
「骨が変形している」「使いすぎ(オーバーユース)」 そう言われると、もう安静にするしかない、一生付き合っていくしかないと諦めてしまいますよね。
しかし、その「常識」が間違っているとしたら? あなたの肘の痛みが治らないのは、変形が進んでいるからでも、あなたが使いすぎたからでもありません。 ただ、「痛みの本当の原因」を見誤っていただけなのです。
こんにちは。慢性痛専門の整体院「痛み回復センター東京」の早坂秀一です。 この記事では、なぜあなたの肘の痛みが治らないのか、最新の医学エビデンスに基づいた「痛みの新常識」を解説します。
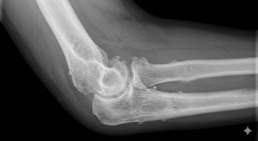
「肘の変形」と「痛み」はイコールではない
まず、あなたの「常識」を覆す、日本発の衝撃的な研究結果をお伝えします。 (参考:小布施研究 2013 )
【医学的エビデンス】
日本の一般住民を対象とした大規模調査で、50歳以上の約4人に1人(25.2%)に「肘の変形(変形性肘関節症)」が見つかりました。
しかし、そのうち「痛み」を感じていたのは、わずか「0.9%」でした。
つまり、「変形がある人の96%は、痛くない(無症状)」なのです。

これは、どういうことでしょうか? 「骨が変形している(構造)」から、「必ず痛い(症状)」わけではない、ということです。 あなたの「変形」や「骨棘」は、長年の使用に耐えて関節を安定させるための「適応」であり、それ自体が痛みの犯人とは限らないのです。
あなたの「本当の黒幕」=「壊れた警報システム(脳・神経)」
では、あなたが本当に戦うべき「黒幕」は誰か。 それは、変形した肘(構造)ではなく、あなたの「システム(脳・神経)」です。
これは「気のせい」という精神論ではありません。当院が専門とする「ペインデュケーション(痛みの教育)」に基づく、科学的な事実です。 (→この理論の土台について、詳しくはペインデュケーションとは?をお読みください)
- 神経の過敏さ(=警報器が壊れている)
肘は日常生活で頻繁に使う部位です。痛みが長引くと、肘周りの神経そのものが「過敏」になり、「ちょっと動かしただけ」(→物を掴むと痛い理由へ)というささいな刺激にも「危険だ!」と過剰反応するようになります。 - 脳の勘違い(=警備室がパニック)
「変形している」「使いすぎだ」と診断された「恐怖」や「罪悪感」がガソリンとなり、あなたの「脳(警備室)」はパニックを起こします。「私の肘は壊れている!」と「勘違い」した脳は、「過剰防衛モード」に入り、肘の筋肉をガチガチに固め、激痛(警報ベル)を鳴らし続けてしまうのです。
根本改善への道:「構造」と「システム」の両方をリセットする
あなたが治らなかったのは、「骨(構造)」ばかりを気にして、「システム(脳・神経)」を放置していたからです。 サポーター(→サポーター依存の危険性へ)や湿布、注射が効かなかったのも、このためです。
当院のアプローチは、
- 「火元(肘への負担)」となる体の歪み(肩や手首からの連鎖)を整え、
- 「壊れた警報システム(脳・神経)」をリセットする この両方を行います。
「変形」のせいにしないでください
「私の肘の痛みも、脳の誤作動かもしれない…」 「”脳の勘違い”をリセットする具体的な方法が知りたい」
その「気づき」こそが、絶望から抜け出す第一歩です。 あなたが戦うべきは「変形した骨」ではありません。「勘違いした脳」です。
次のステップとして、当院が「なぜシステムを修理できるのか」という「答え(解決策)」を、学んでみませんか?
その「本当の答え」と「当院独自の神経リセットアプローチ」については、当院のLINE公式アカウントにご登録いただいた方だけに、【全3回の限定記事】として無料でお届けしています。 (※Webでは公開していない、当院だけの「神経リセットアプローチ」も解説しています)
「一生この痛みと付き合う」と諦める前に、今すぐ下のボタンから「痛みの新常識」を手に入れてください。
